
Área de Clientes Nesai
Tecnología avanzada de análisis de piel para mediciones precisas de la dermis
Powered by NesAI
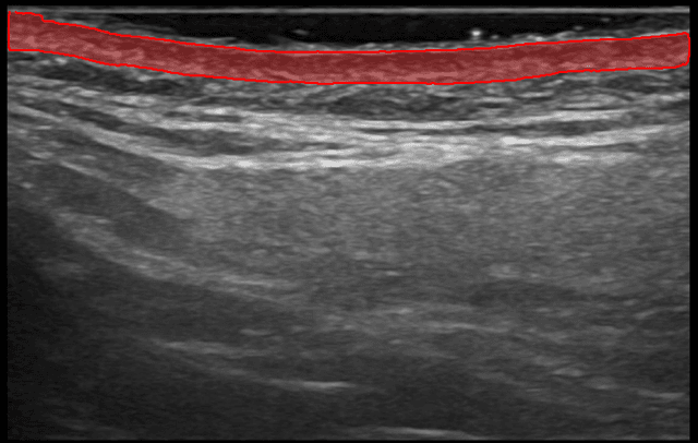
Precisión en el Análisis de la Piel
Algoritmos de última generación identifican la dermis y cuantifican marcadores de envejecimiento automáticamente










Análisis Avanzado de la Piel
Cuantifica y sigue las mejoras de la piel con precisión. Nuestro análisis proporciona mediciones de nivel clínico para tratamientos profesionales de la piel.
Escaneo de Precisión en 60 Segundos
Nuestra IA segmenta instantáneamente tu capa dérmica. Obtén mediciones precisas de el grosor y el área de la dermis.
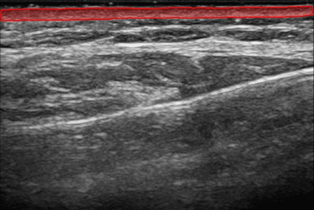
Seguimiento Visual del Progreso
Sigue mejoras medibles a lo largo de las sesiones de tratamiento. Visualiza cambios en la calidad de la dermis con comparaciones precisas de antes y después.

Análisis Comparativo por Edad
Comprende la edad biológica de tu piel y sigue las mejoras a lo largo del tiempo.
EDAD
5%
Eco Medio
40%
Eco Superior
15%
Contáctanos
¿Tienes preguntas sobre NesAI o te interesa saber más? ¡Nos encantaría saber de ti! Déjanos un mensaje y nuestro equipo te responderá pronto.